Galerie: Rotule

Instabilité rotulienne

Diagnostic clinique

Épisode de luxation rotulienne aigue

En cas de luxation rotulienne récidivante

Traitement chirurgical

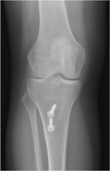
Ligamentoplastie du MPFL

Syndrome fémorro patellaire